東大阪市・守口市・門真市・寝屋川市・八尾市・摂津市・四條畷市・生駒市



インプラント治療をご検討されている方でも、口腔内や顎の骨の状態、または全身疾患をお持ちの方などは、手術を受けることが難しい場合があります。当院の院長はIDIAインプラント認定医として、豊富な経験と知識を持っています。
そのため、多様な治療法への対応ができ、精度の高い治療を提供することが可能です。 いちば歯科医院では過去にインプラントで失敗された方・他院でインプラントは無理と断られた方に対して、無料相談を行っています。 ぜひお気軽にご相談ください。私たちは、一人ひとりの患者さんに最適な治療法を見つけるために、全力でサポートいたします。



当院でインプラント治療をされた患者様は、皆さんがインプラント治療の結果に満足されています。
このインプラント技術をマスターするために、何度も海外研修をはじめ国内のセミナーにも数多く出席し、インプラントの指導医の先生のオペを何度も見学し、数え切れないほどの症例検討も行なってきました。インプラントをマスターするためにかけた時間や費用は相当なものだと思っております。そしてそれは今後も続けていく予定です。
患者様への負担が少ない『4Sコンセプト』のもと、複雑な手技なしで痛みも非常に少なく短期間で終了できるインプラント治療を行なっております。



骨造成などの複雑な外科手技を行わないのでオペ時の患者様の負担が軽減されます。

通常1年ほどかかる治療期間が最短3ヶ月足らずで終了します。

複雑な治療を行わないので失敗のリスクが減ります

歯肉を大きく切開しないため、身体への負担をできる限り抑えられ、痛みや腫れが軽減されます
皆さんこんにちは。大阪市鶴見区の医療法人志尊会いちば歯科医院、院長の市場亮志です。インプラントは「痛い」とか「怖い」というイメージを持たれている方も多いかと思います。
私たちいちば歯科医院は、スタッフ共々「健康で豊かな人生を口元から」という医院理念のもと、歯科治療を通して地域の皆様の健康に貢献することを目標に、長きにわたり愛され続ける歯科医院でありたいと願っています。これからも治療もメンテナンスも最高のものをご提供できるように頑張って参りますのでよろしくお願い致します。
院長・スタッフ紹介
当院では3i社(本社アメリカ)のインプラントを使用しています。 インプラントのメーカーは世界で100社くらいありますが、3i社はノーベルバイオケア社(スェーデン)、ストローマン社(スイス)などと並び世界でも有数のシェアを誇るインプラントメーカーです。
インプラント治療において経験豊富なドクターが厳選したの治療素材と熟練の技術を提供しています。 使用するインプラント素材は、長期的な安定性と生体適合性を考慮し、厳選されたもののみを採用しています。また、手術においても、経験豊富なドクターが慎重な手法で行うことで、患者様の負担をに抑え、納得頂ける治療結果を実現します
治療後のアフターケアにも力を入れており、患者様が安心して快適に過ごせるよう、サポート体制を整えています。ぜひ当院にお任せください。
オールオン4は、歯が全くない方や多くの歯を失った方に提案するインプラント治療法です。この技術では、上顎または下顎に最小4本のインプラントを埋め込み、その上にフルマウス義歯を装着します。通常のインプラント治療に比べて、手術回数が少なく、治療期間も短縮されます。また、骨移植が必要ない場合が多く、費用やリスクの軽減にもつながります。しっかりとした噛み心地と自然な見た目を取り戻すことができ、日常生活の質を大きく向上させることができます。
通常のインプラント治療では抜歯した部分の傷が治癒してからインプラントを埋入します。
抜歯即時埋入法は、歯を抜くと同時にインプラントを埋入するという画期的な方法です。条件が良ければその日のうちに仮の歯まで入れることができるため、治療中の患者さんのQOLの低下を防ぐことができます。その上手術回数が少なくてすみ治療期間も短縮できるので、患者様の痛みや負担を軽減することができるという非常にメリットの大きい治療法です。


当院では、インプラント治療に関する無料相談を実施しています。インプラントは、失った歯を自然な感覚で取り戻せる効果的な治療法ですが、一人ひとりの口腔状況に応じた治療計画が重要です。相談では、経験豊富なドクターがあなたのご希望やお悩みをじっくり伺い、インプラントのメリットやデメリット、治療の流れについて丁寧にご説明いたします。初めての方でも安心してご相談いただけるよう、リラックスした雰囲気でお迎えいたします。インプラントに興味がある方や、治療を検討中の方は、ぜひこの機会にお気軽にご相談ください。あなたの健康で美しい笑顔をサポートいたします。
実際にインプラント治療を受けられた患者様の症例をご紹介いたします。
最初はみなさんインプラント治療を受けるのに不安をかかえておられます。
当院では一人ひとり異なるお悩みやご要望に寄り添い、患者さまに合わせた治療を提供しています。
インプラント治療を検討されている方の参考になれば幸いです。
症例1/





症例2/





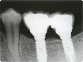
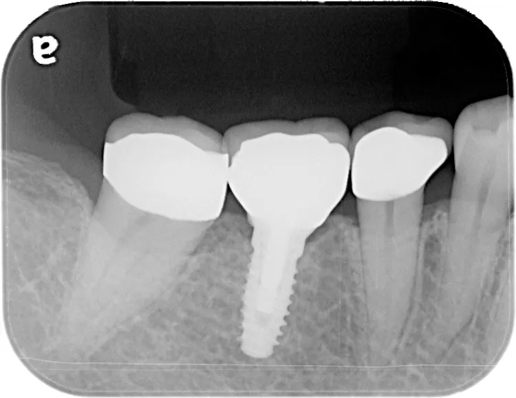
第一大臼歯1歯欠損をインプラントで回復したケースです。第一大臼歯は永久歯の中で一番最初に生える歯ですが、一番早く傷んでしまう歯でもあります。噛む力の60%を負担し噛み合わせの安定に大きく影響しますので、この歯が欠損すると噛み合わせに悪い影響を与えてしまいます。インプラントで治すことにより噛み合わせが安定するだけでなく、ブリッジのように隣在歯を削らないので天然歯の寿命を延ばすメリットもあります。
症例3/



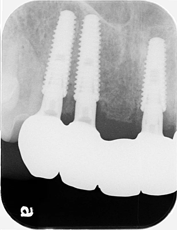
左下5本欠損した部分をインプラント3本埋入して5本ブリッジで治したケースです。なかなかインプラントに踏み切れず、長い間入れ歯を使っておられましたが、噛みごたえがなく好きなものが食べれない上に、度々歯茎が痛んでは調整の繰り返しで快適に過ごすことができず、QOLの向上のためインプラント治療を決断されました。今ではなんでも食べれるとのことで、入れ歯で我慢しないでもっと早くインプラントにすればよかったと言っておられます。
症例4/



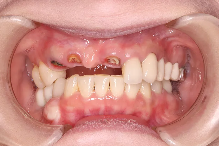
前歯の古いブリッジが脱離し、土台となっていた3本の歯も傷みがはげしく再度のブリッジ治療が不可能な状態でした。前歯ということで欠損を放置できないため、抜歯と同時にインプラントを3本埋入し即日で仮歯までいれました。治療期間中、見た目を気にすることなくオペから4ヶ月で最終のジルコニア4本ブリッジを装着し治療完了しました。抜歯即時埋入は術後の痛みもほとんどなく、治療期間の短縮や患者様の負担軽減などメリットの大きい治療法です。
治療内容
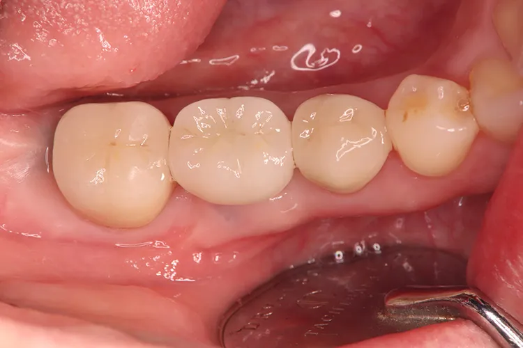
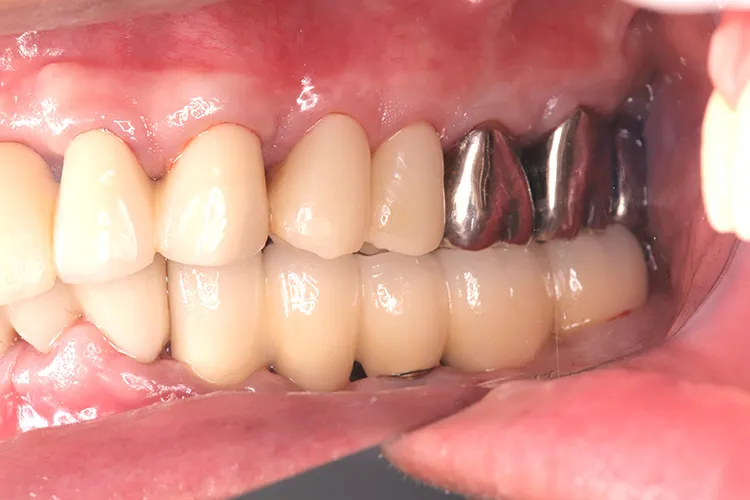
左下67 欠損に対してインプラント治療を行った症例
部分床義歯を使用していたが、どうしても慣れない上にしっかり噛むことができないためインプラント治療を希望